English
العربية
Add your Business
Log In / Signup
Login
Signup
Login to Business Account
Add your Business
Dubai
Abu Dhabi
Ajman
Al Ain
Dubai
Fujairah
Ras Al Khaimah
Sharjah
Umm Al Quwain
Dr. Amrou
0.0
0 votes
Rate it
Send Message
Write Review
Claim
Describe how Business Bay in dubai has become hub of business in Dubai and how it has boosted Dubai's economy and also major projects and attractions in business bay
Home
Reviews
+971-50-3421631
Beach Centre
,
Jumeirah Beach Road
Jumeirah 1, Dubai
Get Directions
Timings
Monday:
9 AM - 7 PM
Tuesday:
9 AM - 7 PM
Wednesday:
9 AM - 7 PM
Thursday:
9 AM - 7 PM
Friday:
9 AM - 6 PM
Saturday:
Closed
Sunday:
9 AM - 7 PM
Categories
Dentists & Dental Services
About
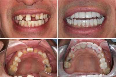
Dr. Amrou is Dentists and Dental Services situated in Jumeirah 1, Dubai.
Reviews
Write a review
Login to write a review
Send Message
Message to
Your Name
is required
Your Email
is required
is invalid
Contact No
Your Message
is required
Please type the letters
To be safe, transact with people face to face. Don't send your financial information or wire money in advance. Citysearch holds no liability, including financial responsibility for damages incurred when transacting online.
Report any scam here.
Post Business Updates
Promote updates about your business at our City home page
Announcement
Albums
Deals
Events
Services
Log in to Continue
Promote updates about your business at our City home page